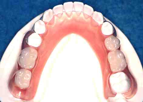
【バネなし義歯(バルプラスト・フレキシブル)】

1.術前
2.バネなし義歯
3.バネなし義歯を
  入れた状態。
(金属のバネがないので
 みばえがいいです)