【症例 4】6歯欠損 (55才,女性)


正面上(ミラー像)
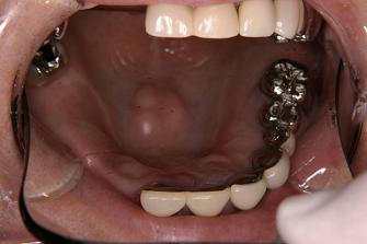
1.
術前のお口の状態です






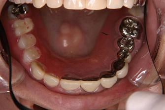
2. 作製したバネなし入れ歯
(バルプラスト)です

裏側

裏側





3.
バネなし入れ歯を入れた
状態です!!








* 金属のバネがないので
見栄えが良いです!

入れ歯が入っているとは
気がつかれにくいです!!