【コンフォート 症例1 (58歳,女性)】
上の総入れ歯
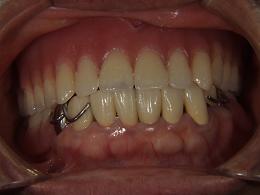
口腔内の状態です!




コンフォート義歯
内面に軟らかい生体シリコーンを貼りつけています





お口の中に入れた状態です!