ホーム・ホワイトニングの症例





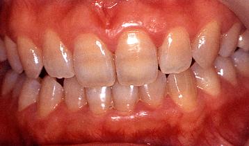
ホワイトニング前
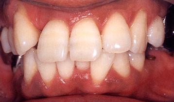
ホワイトニング後(一ヵ月後)
症例 1
症例 2
症例 3
症例 4
症例 5
症例 6