歯科用レーザーによる治療

症例 1 レーザーホワイトニング
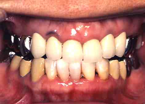
1.術前
  左下3番目の歯が
  黄色っぽいです。
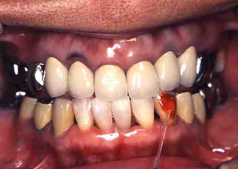
2.レーザー照射中(坂巻先生式)
  この方法は、根室市の坂巻
  先生が考案しました。
3.レーザー照射後
  黄ばみがかなり
  とれました。