【歯科用レーザーによる治療】
(4)メラニン色素除去(歯ぐきの黒ずみの除去)
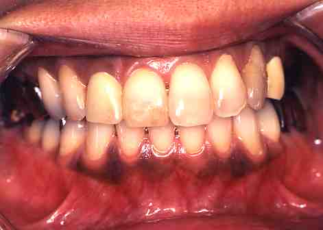
1.術前
  下の歯ぐきが黒ずんで
  見栄えが悪いです。
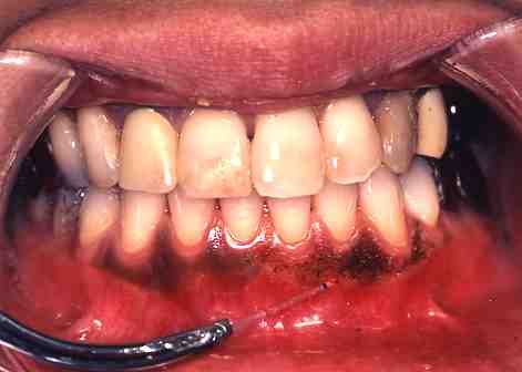
2.レーザー照射後
  (今回は左下のみ)
3.一週間後
  歯ぐきの黒ずみが
  ほとんどとれました。