【歯科用レーザーによる治療】
(1)虫歯予防
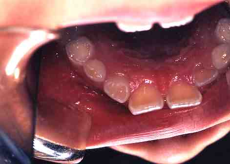
1.術前(ミラー像)
  歯の舌面(裏側)が
  へこんでいて虫歯に
  なりやすい状態です。
2.術中(ミラー像)
  歯科用のスミを塗布して
  レーザー照射します。
3.術後(ミラー像)
  この後、フッ素を塗って
  再度レーザー照射して
  虫歯予防となります。