【歯科用レーザーによる治療】
(3)小帯切除
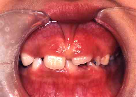
1.術前
  上唇小帯のスジが
  張っています。
2.術後
  この症例は麻酔をして
  レーザーにて切除しました。
  出血はまったくありませんでした。
3.一週間後