【歯科用レーザーによる治療】
(2)歯周病の治療
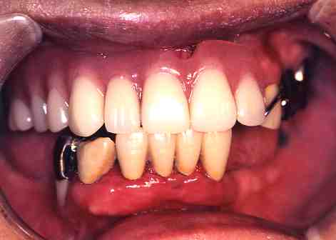
1.術前
  下の歯のまわりの
  歯ぐきが腫れています。
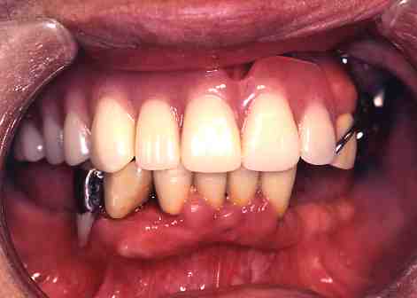
2.レーザー照射中
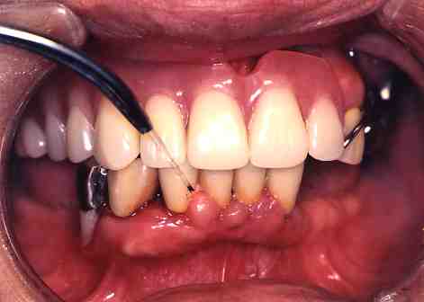
3.一週間後
  歯の周りの歯ぐきの腫れも
  かなりおさまりました。