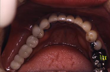
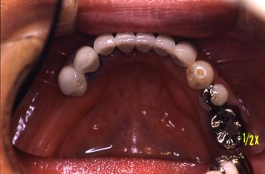
【症例 2】右下奥歯3本欠損 (64才,女性)
全て鏡に映っています。
術前
右下奥歯3本の歯がないです

インプラントを4本植めました
(術直後)

冠が入りました