【矯正歯科】
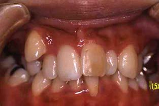
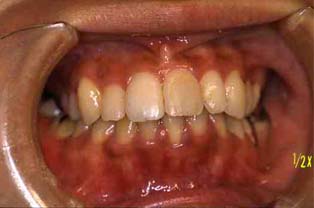
成人その3:八重歯と顎が狭い(唇側低位咬合,歯列狭窄) 22才,女性
歯並びが悪いのが気になって,人前で笑ったりおしゃべりができないようでした。
矯正前

矯正後(一年10ヶ月後)
正面
上顎
(ミラー像)
下顎
(ミラー像)

矯正治療後,歯並びもよくなって自信をとりもどした様でした。
矯正前とは違って,人前でも笑ったりおしゃべりしたりして大変明るくなりました!